Smile Gallery
Dr. Christopher Stock's experience and expertise allow him to create beautiful smile makeovers that will truly transform your oral health, confidence, and overall well-being. You can always rely on us to deliver optimal results that surpass your expectations.
Here is an example of a non-removable, fixed dental bridge replacing a missing tooth. By using zirconia, we avoid the use of dark, grey, metals all together which can cause a dark ring around the gum line. The result is a very cosmetic and strong restoration. Our office can scan teeth thereby avoiding impressions. This is a two step visit.
Sadly teeth are sometimes lost. Plastic dentures don't have to be the answer. With the use of local area specialists, implants are placed and allowed to heal. Dr. Stock and his team will then fabricate an implant supported bridge that is secured in place. It doesn't come out! This is allows for a very natural and cosmetic result similar to natural teeth. From start to finish, the patient never leaves the office without teeth. We make the process as easy as possible.
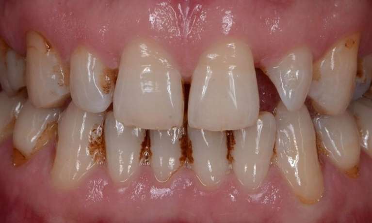
Many of my patients come to me looking to enhance their smile. This photo is an example of the use of crowns, veneers, and periodontal treatments. Often times the crowns can be made in our office in one appointment using our laser scanner and in house mill. The ability to use our CAD/CAM allows for custom design, one appointment visits (no temporaries, no impressions) and a beautiful smile. This system can be used from just one teeth to several.
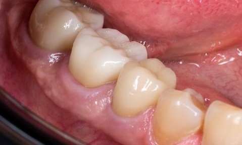
One of the most common procedures in my office. Old crowns and or fillings that need to be replaced because of either cavities, broken porcelain or a patient is just looking for a nicer, more natural result. With our CAD/CAM systems we can do this in one appointment! No temporary crown that comes off, no second visit, no second shot. A very small percentage of dentists have the ability to do this work in one visit. I've had this technology for over 12 years having made thousands of crowns.
Here is an example of the use of crowns and or veneers. Old composite fillings and crowded/overlapped teeth can be fixed very easily and quickly. In some cases we can do this in one visit!. The results are dramatic yet subtle. A natural look is beautiful.
By using an advanced dental laboratory and Dr. Stock's decades of experience, the use of veneers, crowns, bridges, implants can all be used to give us dramatic results. Many patients come to us because their previous dentist doesn't offer this type of service.
Very simple and easy smile improvement. Rotated, overlapped teeth can be fixed in as little as one appointment. Here is an example of the use of veneers/crowns to correct an uneven smile and removing old composite fillings. Again, these cases are easy and fast, with the results being dramatic. Often times we have a large natural smile because we don't like our teeth. Whether our cases are made in house or scanned and lab made, our goal is a quick turnaround time with dramatic results.