Palms Dental
Dr. Christopher Stock

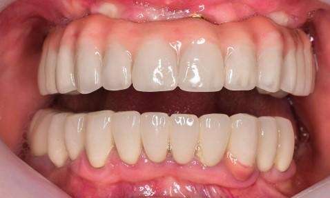
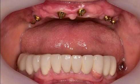
Non-removable Zirconia Bridge Supported by Implants

Sadly teeth are sometimes lost. Plastic dentures don't have to be the answer. With the use of local area specialists,  implants are placed and allowed to heal. Dr. Stock and his team will then fabricate an implant supported bridge that is secured in place. It doesn't come out!  This is allows for a very natural and cosmetic result similar to natural teeth.  From start to finish, the patient never  leaves the office without teeth. We make the process as easy as possible.

Related Services:

Dental Implants
Improve your smile today – call to schedule a consultation!
If you have difficulty using our website, please email us or call us at (941) 748-7017
View the ADA Accessibility Statement