Dental Implants in Bradenton, FL
Did you know that tooth loss affects millions of Americans? The American College of Prosthodontists (ACP) estimates nearly 178 million Americans are missing one tooth, while 40 million are missing all of their teeth. As we age, tooth loss can become more prevalent, especially between the ages of 65 to 74.
If you have one or several missing teeth, dental implants may be a viable solution for you. Dr. Christopher Stock at Palms Dental is a tooth replacement expert who works with a prosthodontic specialist to place and restore dental implants.
The Effects of Untreated Tooth Loss
Tooth loss can impact a person's sense of self-esteem, but it can also affect their overall health and quality of life.

If left untreated by a highly experienced dental professional, tooth loss can:
- Alter one's bite alignment of remaining teeth
- Increase the risk of gum disease, heart disease, and stroke
- Hinder proper enunciation and speech
- Dissolve bone structure and lead to bone loss
- Cause a lack of facial muscle support, resulting in an aged appearance
- Damage remaining teeth due to dental wear and uneven chewing forces
Dental Implants: A Permanent Tooth Replacement Solution
There are several exceptional solutions to tooth loss, but implant dentistry is the gold standard. Dental implants restore a person's smile using biocompatible titanium implants and lifelike prosthetics. However, dental implants do more than replace missing teeth. They can also do the following:
- Retain a person's facial shape
- Support facial muscles
- Prevent bone loss
- Reduce the risk of gum disease and other medical conditions
- Promote proper speech and pronunciation
- Restore chewing and biting function
Many patients choose dental implants instead of dentures for numerous reasons because they remain secure and provide stability. No one wants their dentures to slip around in their mouth, but it's a common problem that can be fixed with your dentist's help.
However, no amount of denture adhesive will keep ill-fitting dentures in place. Perhaps the most guaranteed way to ensure your dentures stay in place is to stabilize them with dental implants.
What Are Dental Implants and How Do They Work?
The Anatomy of a Dental Implant
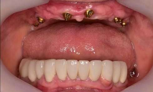
A dental implant is a replacement tooth root inserted in the jaw and consists of three components: the implant post (fixture), the abutment, and the prosthetic tooth or teeth.
The implant post is titanium that naturally integrates with your jawbone, acting as natural anchors for your new teeth. The fixture sits below the gumline, hidden from view, and must be placed through a surgical procedure.

The fixture is made of titanium, a strong, biocompatible material clinically proven to provide long-lasting results. The abutment connects the new tooth to the post, and the prosthetic can be a dental crown, bridge, or denture.
The Dental Implant Process
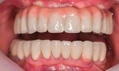
If Dr. Stock determines you are a good candidate for dental implants, he digitally scans your mouth to create a customized prosthetic that meets your needs and aesthetic goals. He then sends your case information to a specialty laboratory to fabricate the crown, bridge, or denture.
Dr. Stock collaborates with an expertly skilled dental implant specialist who places the fixture on-site in our Bradenton dental office. Over time, the jawbone naturally grows around the post to stabilize the implant and provide permanence, a process known as osseointegration.
When this healing process is complete, Dr. Stock places the customized dental restoration to the implant, resulting in a newly revived smile. Your personalized restoration will seamlessly blend in with your smile and complement your facial characteristics. Our patients appreciate these prosthetics' stability and realistic nature, as they are comfortable and highly functional.
Reclaim Your Smile with Implant Dentistry in Bradenton
Do you live with tooth loss and desire a long-lasting solution? Please get in touch with our dental team to learn more about our implant dentistry approach or arrange your consultation with Dr. Stock.