Palms Dental
Dr. Christopher Stock

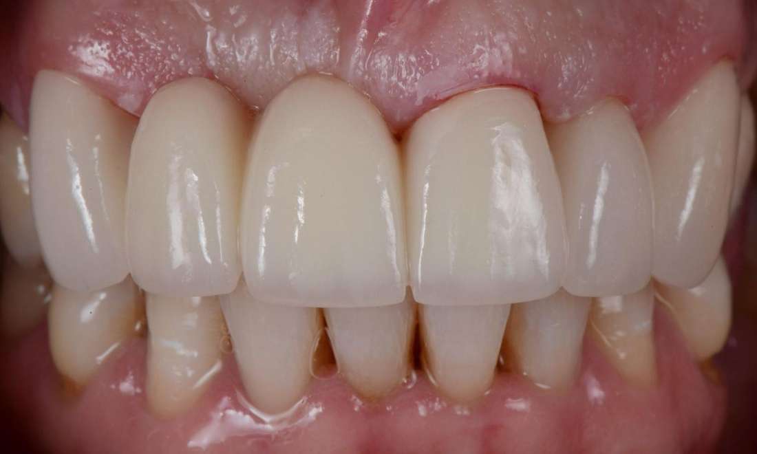
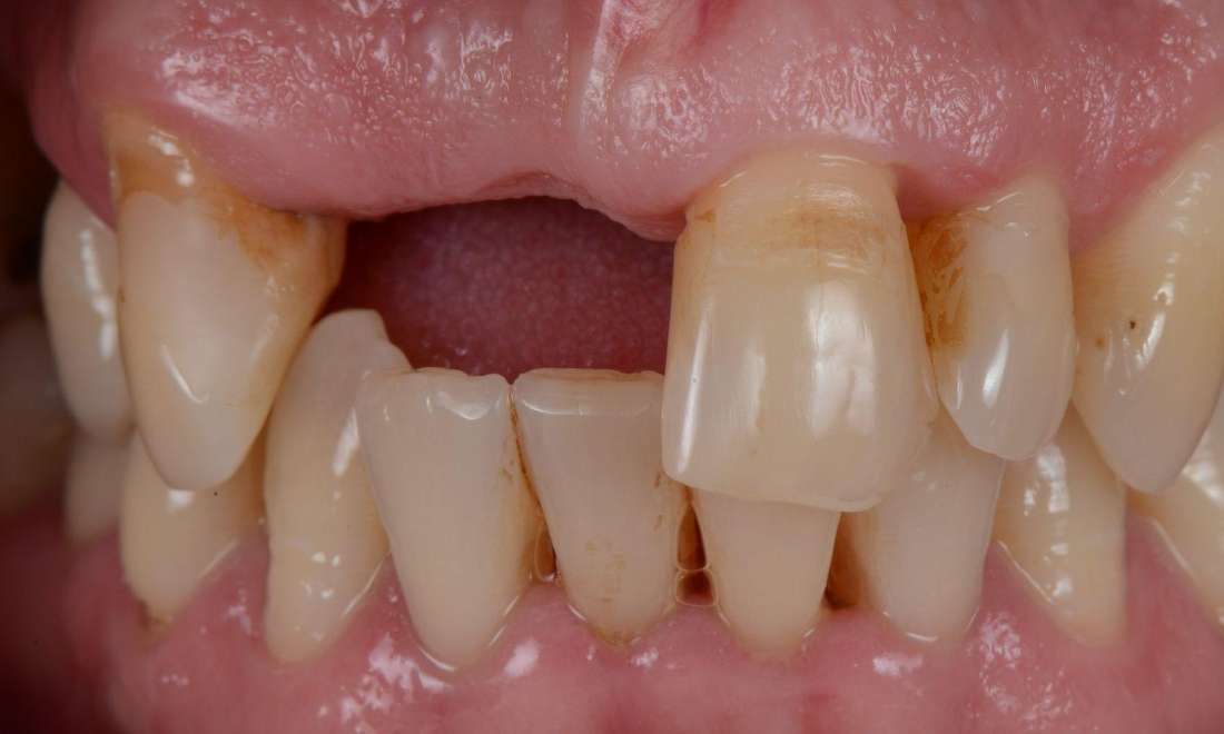
Cosmetic Fixed Bridge

Here is an example of a non-removable, fixed dental bridge replacing a missing tooth. By using zirconia, we avoid the use of dark, grey, metals all together which can cause a dark ring around the gum line. The result is a very cosmetic and strong restoration. Our office can scan teeth thereby avoiding impressions. This is a two step visit. 

Have Questions? Get in Touch
If you have difficulty using our website, please email us or call us at (941) 748-7017
View the ADA Accessibility Statement
Privacy Policy