Dental Crowns and Bridges in West Bradenton, FL
Everyone wants a healthy, attractive smile, and we can help you reach this goal with aesthetic dental crowns and bridges in Bradenton. Dental crowns and bridges restore and strengthen teeth simultaneously, allowing patients to reclaim their oral health and appearance.
At Palms Dental, we offer same-day dental crowns and traditional crowns and bridges. Whether you get a same-day crown or choose the more conventional route, we will ensure your improved smile looks and feels natural.

What Is a Dental Crown and Bridge?
Dental Crowns of Superior Quality
A dental crown, or cap, is a strong ceramic covering your dentist places over a damaged natural tooth. A dental crown restores the tooth’s function, providing long-lasting support and strength.
Many patients and dentists alike appreciate the versatility of a dental crown because it can correct several problems:
- Fractured or broken teeth
- Teeth weakened by root canal therapy
- Large or broken fillings
- Severely decayed teeth
- Worn teeth due to bruxism
Ultimately, a dental crown reinforces structural stability and functionality. We may also use dental crowns for cosmetic modifications, such as concealing discoloration, mild misalignments, or misshapen teeth. Crowns can also hold a dental bridge in place or cover dental implants.
Let Us Bridge the Gap in Your Smile
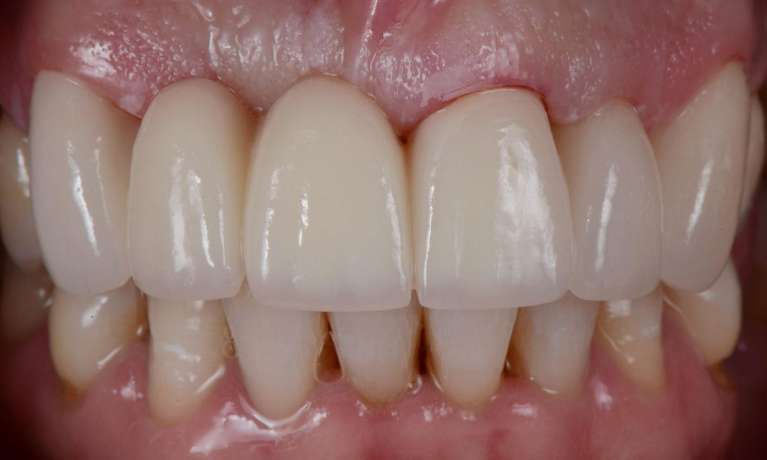
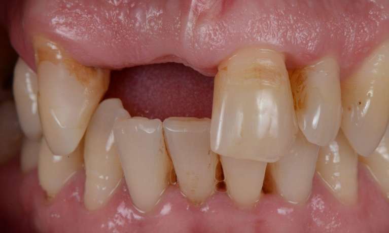
A dental bridge replaces one tooth or several consecutive missing teeth. This prosthetic essentially “bridges” the gap between teeth and reduces the risk of additional tooth loss, gum disease, and oral infection.
A bridge typically consists of a single unit held in place by crowns on adjacent teeth, and it restores your smile’s appearance and function.
Modern Technology for Exceptional Results
At Palms Dental, we use modern technology to provide fast and accurate outcomes that meet your unique needs. Once Dr. Stock develops a treatment plan, he starts the process by taking a digital scan of your mouth. Based on these detailed 3-D images, he designs a restoration for you that matches the size, shape, and shade of your natural teeth.

The system we use is called PlanScan®, which relies on computer-aided design and manufacturing (CAD/CAM) technology to design and fabricate customized restorations digitally.
If you get a same-day crown, Dr. Stock mills it here in our dental office using our high-speed PlanMill® machine. Otherwise, he sends your case information to a trusted dental laboratory––one of the best in the country––where a specialist creates your prosthetic. Both options guarantee fast turnarounds so you can enjoy your new smile in no time!
Reclaim Your Smile with Crowns and Bridges in Bradenton
Palms Dental is a state-of-the-art practice where patients can expect the highest quality dentistry. Every crown and bridge we design is tailored to meet your needs and surpass your aesthetic and functional expectations. We are an amalgam-free dental practice, so you never have to worry about your restorations leaving dark or gray lines on your teeth or gums.
Our goal is to ensure your restoration looks, feels, and performs just like natural teeth. Not only should your restoration be comfortable, but it should also seamlessly blend in with surrounding teeth, creating a harmonious and symmetrical smile.
Contact us today to schedule your crown or bridge consultation with Dr. Stock.